Implants
Need to replace a lost a tooth? Want to secure loose dentures?
Dental implants are the perfect option to restore your smile and your confidence.
What is a dental implant?
Dental implants are a permanent option for replacing missing teeth that look, feel, and function just like your original teeth. Dental implants are positioned with a simple surgical procedure that attaches them to the jaw, replacing the original teeth roots. Once situated, tooth replacements such as crowns or dentures can be attached to these anchor points, giving you the stability and comfort to eat, talk, and smile with confidence.
Why would I need a dental implant?
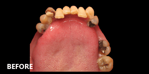
You may need a dental implant after the loss of a tooth due to periodontal disease or injury, or to provide support and stability for your partial or full dentures.
When you lose a tooth bone loss occurs and increases over time. Implants help prevent this loss, maintain the bone strength and structure, and support the replacement of missing teeth. Dental implants are also the easiest and least invasive way of replacing teeth as they do not affect your other surrounding healthy teeth.
More about Implants
What Are Dental Implants?
Historically, dentures or bridge restorations would be used as replacements, for your missing teeth. Dentures especially had limited success.
Dental implants, however, have revolutionised our ability to restore a missing tooth. They are natural-looking replacements for missing teeth but at same time restore your ability to chew as normal. They have also been used to anchor the aforementioned other types of restorations for greater success and patient satisfaction.
A More Natural Approach
A dental implant is a titanium post roughly the same size as a natural tooth that acts as the root structure would for a natural tooth. A dental implant is placed into your upper or lower jawbone. After the bone has grown around the implant, implants can hold a crown, bridge or denture just like roots hold natural teeth in place. Implants are very durable and can last a lifetime. They require the same maintenance as natural teeth; this includes brushing, flossing and regular dental check-ups.
A single tooth to a full set of teeth can be replaced with dental implants. Titanium metal is used because of its ‘bio-compatibility’ with bone and oral tissues.
Dental Implant History
Dental Implants were developed in 1952, in a laboratory in the university town of Lund, Sweden by Professor Per-Ingvar Brånemark, who had a “lucky” accident during bone grafting research. Much to his dismay, Dr. Brånemark discovered that it was impossible to recover any of the bone-anchored titanium microscope markers he was using. The titanium plate had apparently bonded irreversibly to living bone tissue, an observation that contradicted all scientific theory at the time.
Dr. Brånemark went on to demonstrate that under carefully controlled conditions, titanium could be structurally integrated into living bone with a very high degree of predictability, and without long-term soft tissue inflammation or rejection. Brånemark coined the name “osseointegration,” meaning the attachment of healthy bone to a titanium implant. So dental implants were born and the first application of dental osseointegration was the implantation of new titanium roots in toothless patient in 1965. Dental implants have shown over a 95% success rate.
Reasons You May Want To Consider Dental Implants
- To replace one or more teeth
- To provide support for a partial denture
- To increase the support and stability of full upper or lower denture
- To enhance chewing capability
- To increase confidence while smiling, talking and eating
- To improve your appearance and regain confidence
Appearance
The effects of missing teeth can be detrimental to your long-term oral and medical health. Missing teeth can make you look older than you are. Replacing missing teeth can enhance your smile and the shape of your face. This greatly enhances both your dental health and self-esteem.
Abnormal Bite Relationship
Having gaps in your jaw where teeth are missing affects the way that it closes. The remaining teeth begin to tilt and drift into the gaps. Food can also become trapped in these spaces, increasing the risk of decay and gum disease. The tilting and drifting can also cause a number of problems for the remaining teeth. An opposing tooth to the gap will begin to over erupt and begin to drift into the open space of the missing tooth, causing the opposing jaw-line to have bite relationship problems; thus beginning jaw joint problems (problems with the jaw joint). The tilting action of the teeth will result in abnormal chewing forces on them leading to tooth fracture. When a tooth/teeth are missing, the remaining teeth are subjected to greater chewing forces which will lead to them being irreversibly damaged.
Jawbone Deterioration
As soon as a tooth is lost, the bone supporting it in the jaw begins to dissolve. This process is called resorption. The longer a tooth is missing, the greater the bone loss. Over time, resorption of the jawbone has a considerable effect on quality of life and on the possibility of replacing the missing teeth. As teeth are lost it becomes more difficult to eat and chew food. Studies have shown that 29 percent of denture wearers eat only soft or mashed foods and 50 percent avoid many foods altogether. And over time, more and more of the jawbone disintegrates, until it becomes very difficult to place any dental restoration. This resorption also weakens the remaining bone to the point where your lower jaw can fracture very easily.
Benefits Of Replacing A Tooth Immediately
A tooth should be replaced as soon as it is lost or as soon thereafter. This will retain your oral health by preventing bone loss, reducing movement of surrounding teeth and avoiding excess decay and pressure.
Teeth provide more functions than just the ability to chew. They are necessary for the health of the gum and jaw tissues as well, and a prolonged absence of a tooth will severely limit the possibilities for restorations. Missing teeth may also affect your confidence and wellbeing.
Implant Procedure
Strong, durable and natural in appearance, implants are among the most successful dental procedures performed.
1 – Placement of the implant in your bone. This is carried out in the dental chair, with a local anesthetic or sedation. After this part of the procedure, there is a healing period of approximately 3–6 months. During this time, your bone fuses to the implant by the process known as ‘osseointegration’.
2 – Now, there is a minor procedure to expose the top of the implant. Your dentist will now attach an abutment on it. The function of the abutment is to become the support for either one tooth or a set of teeth. This is a short procedure that only requires local anaesthesia.
3 – The last phase is the restorative phase. The dentist will take impressions and then make a prosthesis that will attach to the implants. This will require several visits. You can choose in most cases to have the implant restored with Cerec. This means you only have to have 1 appointment. Once completed, your mouth will be restored to natural looking, strong teeth. If you have a denture, this is the stage where you will have it anchored into place.
Implant Complications
When Dental Implant Surgery Doesn’t Work
In some cases, dental implants don’t work. Usually that happens when the bone fails to fuse sufficiently to the titanium implant cylinder and the implant becomes loose. In this case, the implant is removed, the bone is cleaned up, and you can try the procedure again in a month or two.
What Are The Risks And Downsides Of Dental Implant Surgery?
Like any surgery, dental implant surgery poses some health risks. Problems are rare, and when they do occur they’re usually minor and easily treated.
Risks include:
- Infection at the implant site.
- Injury or damage to surrounding structures, such as other teeth, blood vessels and the nasal cavity.
- Nerve damage, which can cause pain, numbness or tingling in your natural teeth, gums, lips or chin.




Why implants at the Dentists Whanganui?
At the Dentists, you can relax in our capable hands.
Our highly trained dental specialists are experienced in implant dentistry, ensuring that you keep your smile.
One-on-one Consultation
No one wants to be hustled into a chair. We’ll sit down with you face-to-face in a comfortable room and discuss your situation.
The Power of Choice
We bring you back in for a free consultation to review all of the options. Get the information you need, then you can decide.
The Best Care Anywhere
You’re more than just a number. We want you to live the best life possible and we give you the very same care we’d give our own family.
Oral Health Experts
Whether you’re just in for a check-up or are interested in a full makeover, we have the experience and expertise to get you the best results.
State-of-the-art Dentistry
We have some of the best dental equipment and technology anywhere. Our state-of-the-art facilities result in less pain and better outcomes.
Come Here, Stay Here
Our network of highly-skilled experts means we can take care of all of your dental needs right here. No sending you to another dentist. You stay with us.